OEC One

Arco en C móvil todo en uno
De un vistazo

Cerrar

Acerque las imágenes al campo quirúrgico gracias al arco articulado y extensible de la pantalla OEC One

Borrar

Vea imágenes de referencia nítidas, claras, en tiempo real en la pantalla de gran resolución de 27"

Accesible

Listo cuando sea necesario con alimentación de 5 minutos en espera

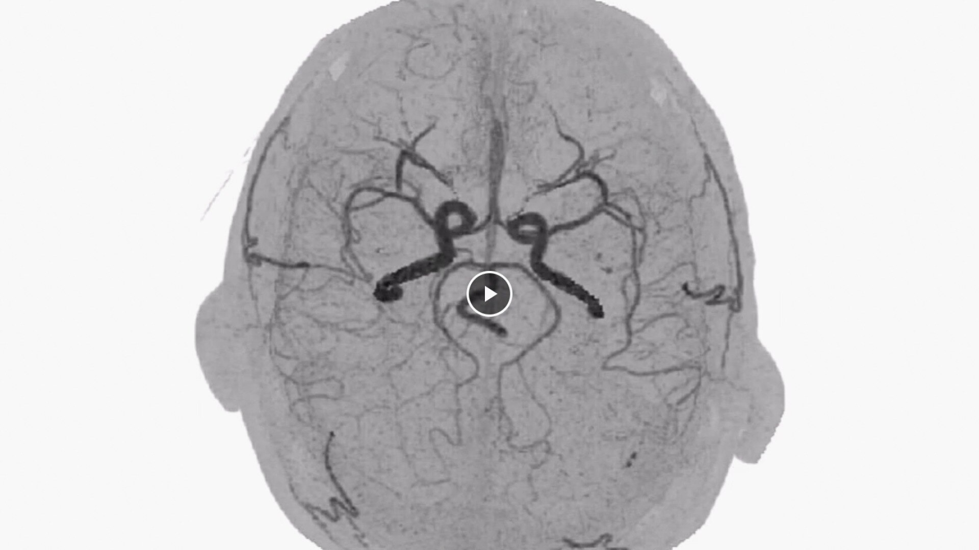
Imágenes detalladas cuando las necesita

El arco en C móvil todo en uno OEC One ofrece funciones extraordinarias de adquisición de imágenes que se han hecho más accesibles para una gran variedad de procedimientos, desde el tratamiento del dolor hasta los procedimientos vasculares periféricos. Disfrute de avances de procesamiento en imágenes claras y detalladas.
Características

Una visión clara, cuando y donde sea necesario

El arco en C móvil todo en uno OEC One va más allá de proporcionar la excepcional calidad de imagen que espera de OEC: OEC One ofrece las imágenes que necesita; donde, cuando y como las precise, en todas las configuraciones de procedimientos

Línea de visión clara

Tanto si está a la derecha como a la izquierda del arco en C, de pie o sentado, podrá obtener la línea de visión de las imágenes que necesita gracias al arco articulado para la visualización de imágenes.

Coloque la pantalla cerca del campo quirúrgico, incluso justo en el borde de la mesa, con la amplia gama de movimiento de la pantalla de imágenes OEC One.


Flujo de trabajo sincronizado

Gracias a la visualización sincronizada de la imagen en directo, tanto en el monitor de visualización de imágenes primario como en el panel de control OEC Touch, se favorece la comunicación eficaz y la entrega puntual de las expectativas clínicas.


Efectúe ajustes con rapidez en la generación de imágenes, la visualización de imágenes y la técnica de rayos X, desde el panel de control OEC Touch.

Sencillez de "apuntar y disparar"

Obtenga las imágenes que necesita sin ajustar la configuración del sistema desde la primera hasta la última instantánea con el software de procesamiento de imágenes OEC.

OEC One utiliza software de inteligencia automática para detectar la anatomía y proporcionar imágenes de alta calidad con niveles óptimos de mA y kV, incluso cuando la anatomía no está centrada correctamente en el campo de visión.

Descripción general del producto

Una visión clara, cuando y donde sea necesario

GE y el Monograma de GE son marcas registradas de la Compañía General Electric.
Todas las marcas son registradas.
1) La información en este material se presenta a modo general, aunque se procura que no existan datos inexactos, pueden existir distintas interpretaciones al respecto; esta información puede ser de aplicación restringida en su país.
2) Los productos mencionados en este material pueden estar sujetos a regulaciones del gobierno y pueden no estar disponibles en todas las localidades. El embarque y la efectiva comercialización únicamente se podrán realizar si el registro del producto ya ha sido otorgado en su país.

¿Tiene alguna pregunta? Nos encantaría saber de usted.

JB01432XL