SIGNA™ Premier Evo*

El mundo de la RM está en constante evolución, al igual que las necesidades de su departamento de adquisición de imágenes. Entonces, ¿por qué su escáner de MR de 3 T debe seguir siendo el mismo?
De un vistazo

Tecnología avanzada de IA

Consiga una calidad de imagen nítida con la pionera tecnología de IA AIR™ Recon DL

Comodidad superior

El diámetro interno de 70 cm y las bobinas AIR™ de tipo manta mejoran la comodidad y la accesibilidad


Mismo imán, diámetro más ancho

Su imán de última generación permanece actualizado con nuestra garantía de por vida.

Mayor rapidez en la rentabilidad

Obtenga la RDI un 40 % más rápido con la transformación a SIGNA™ Evo (en comparación con una sustitución)§

Descubra las capacidades clínicas con un escáner de MR de diámetro amplio SIGNA™ Premier Evo de 3 T

No es necesario que sustituya su escáner de MR de 3 T para estar al día en las especificaciones con los últimos avances. Esto se debe a que la tecnología de GE HealthCare tiene la capacidad inherente de transformarse. SIGNA™ Premier Evo es una actualización sencilla que amplía las capacidades clínicas de los sistemas de RM antiguos. Además de ampliar el túnel a 70 cm, integra la tecnología de IA avanzada y mejora el potencial de investigación.

Atractivo más amplio

Escuche a sus pares, los profesionales médicos que se han beneficiado de primera mano de una transformación a SIGNA Premier Evo.
CARACTERÍSTICAS

Capacidad de largo alcance con el escáner de IRM de diámetro amplio SIGNA™ Premier Evo de 3 T

Una actualización transformadora. Potencial ilimitado para mejorar sus capacidades clínicas y de investigación.
Deep Learning

Capacidades clínicas ampliadas

Con la tecnología avanzada de su parte, puede ampliar su servicio clínico a más pacientes y mejorar la fiabilidad de las referencias.

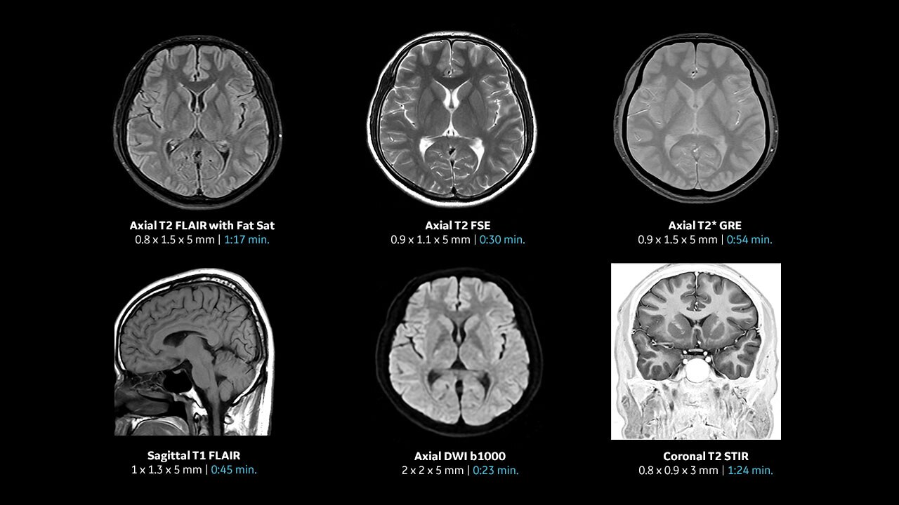
Con el acceso a la tecnología de IA avanzada más reciente, puede explorar todas las anatomías y obtener imágenes con una nitidez excepcional. Nuestro innovador algoritmo de reconstrucción basado en el aprendizaje profundo AIR™ Recon DL acelera el tiempo de exploración y tranquiliza a los pacientes.

El gradiente mejorado de hasta 80 mT/m,
200 T/m/s proporciona resultados excepcionales de forma más rápida y, con 146 canales de RF, puede garantizar la uniformidad de cada resultado.

También verá la diferencia que hacen las aplicaciones automatizadas, como AIR™ Touch y AIR™ x, en su flujo de trabajo y en el rendimiento por paciente.

COMFORT

Experiencia de los pacientes mejorada

La transformación de un túnel de 60 cm a 70 cm amplía la sección transversal en un 36 %, lo que proporciona a los pacientes espacio adicional durante la exploración. Reduzca las tasas de rechazo que produce la claustrofobia en un 90 % a la vez que aumenta la comodidad y la satisfacción del paciente de forma general.**

También puede realizar exploraciones más de cerca con nuestras innovadoras bobinas AIR™ flexibles y ligeras de tipo manta, que son hasta un 50 % menos pesadas que la tecnología convencional y ofrecen mejores resultados***. Además, ya no es necesario reajustar a los pacientes durante el examen, ya que la adquisición de imágenes de cuerpo entero permite la exploración simultánea de diferentes órganos, lo que le permite trabajar más rápido y agilizar las exploraciones.


Región de interés (ROI)

Prolongue la vida útil de su equipo de RM

SIGNA™ Premier Evo incluye la última plataforma tecnológica, que le ofrece acceso a futuras actualizaciones de software, así como a asistencia durante años. Al no desperdiciar imán y al reducir el uso de helio y los costes de reconstrucción, la instalación de su sistema transformado supone una interrupción mínima en su práctica diaria.

También es mucho más rentable actualizar que sustituir su sistema actual: puede llegar a trabajar incluso un 40 % más rápido y solo por una parte del precio de una sustitución, lo que le brinda una mayor rentabilidad de su inversión.ⱡ


RESPETUOSO CON EL MEDIO AMBIENTE

Iluminando la sostenibilidad

Una transformación de SIGNA™ Premier Evo es una opción sostenible. Amplía la vida útil de su sistema y reduce la huella de carbono. El uso del mismo imán de su sistema actual elimina los residuos, reduce el consumo de helio y disminuye los costes de reconstrucción. Es más barato para usted y más amable para el planeta.

La tecnología AIR™ Recon DL reduce el consumo de energía por cada exploración de paciente hasta en un 50 %, lo que es mejor para el entornoⱡⱡ.

FOLLETO

Adquiera un conocimiento más profundo

Obtenga más información sobre la actualización de SIGNA Premier Evo y sobre cómo mejora su escáner de IRM de 3 T antiguo

Descargar

CARACTERÍSTICAS ADICIONALES

Rendimiento de gradientes mejorado

Realice exploraciones más rápidas con un rendimiento de gradientes mejorado de hasta 80 mT/m, 200 T/m/s.

Mayor funcionalidad

Uniformidad garantizada para cada diagnóstico con hasta 146 canales de RF que mejoran la relación señal-ruido

Nuevas herramientas de eficiencia

Las nuevas herramientas de eficiencia incluyen una pantalla en la sala y 3 puertos de bobina de 32 canales en la mesa
§ Con base en el historial de RDI de actualizaciones completas del sistema frente a la sustitución completa
* SIGNA Premier Evo es una configuración de actualización de SIGNA Premier.
** Comparación de la frecuencia de claustrofobia con la posición cabeza primero frente a pies primero
*** Datos de bobinas AIR registrados (2018)
ⱡ Con base en el análisis y entrevistas cualitativas realizadas entre varias partes interesadas en el Precision Imaging Center en octubre del 2022.
ⱡ ⱡ Con base en datos de archivo de AIR Recon DL (2019)
ⱡ ⱡ ⱡ Simplemente mejor en comparación con la tecnología de bobinas convencional

MENCIONES LEGALES

1) La información en este material se presenta a modo general, aunque se procura que no existan datos inexactos, pueden existir distintas interpretaciones al respecto; esta información puede ser de aplicación restringida en su país. La configuración y las características finales del producto pueden diferir de las que se muestran en el material
2) Los productos mencionados en este material pueden estar sujetos a regulaciones del gobierno y pueden no estar disponibles en todas las localidades. El embarque y la efectiva comercialización únicamente se podrán realizar si el registro del producto ya ha sido otorgado en su país. Los productos/tecnologías podrán tener un nombre de fantasía diferente al aprobado, su comercialización se realizará bajo el nombre registrado. GE HealthCare se reserva el derecho de realizar cambios en las especificaciones y características que se muestran en este documento o de discontinuar el producto descrito en cualquier momento sin previo aviso. Comuníquese con su representante de GE HealthCare para obtener la información más actualizada.
3) El cliente y/o prestador de servicios de atención de salud tiene la exclusiva responsabilidad de utilizar su propio criterio médico y profesional independiente en la toma de decisiones clínicas, médicas o financieras. Nada en este material está destinado a ser utilizado para diagnosticar o tratar una enfermedad o condición. Consulte a un profesional de la salud.

Más información sobre el escáner de MR de diámetro amplio SIGNA™ Premier Evo de 3 T

JB01770XL