Revolution Advance

Revolution Advance™ es un escáner de TC de 32 cortes* equilibrado de forma inteligente y capaz de ofrecer una alta calidad de imagen que cuenta con nuestras soluciones de flujo de trabajo mejorado con IA para ayudar a reducir los tiempos de exploración, minimizar las dosis y aumentar la comodidad de los pacientes.

Posicionamiento automático basado en IA

Reduzca los tiempos de exploración agilizando la configuración y el posicionamiento con solo tocar un botón

Funciones de adquisición de imágenes inteligente

Las aplicaciones consistentes y las capacidades de reconstrucción ayudan a reducir la dosis y a mejorar la calidad de la imagen

Inversión inteligente

Basado en la plataforma Revolution para mejorar la eficiencia y reducir los costes operativos

Atención de TC más inteligente para todos

Entendemos que se deben tomar muchas decisiones al elegir la TC adecuada para sus capacidades clínicas de rutina. Necesita un escáner de TC que sea fácil de usar, sencillo de manejar y que siga ofreciendo una calidad de imagen excepcional. Todo ello mientras mantiene a sus pacientes cómodos. Revolution Advance permite una atención de TC más inteligente para todos, todo en un único sistema.

Características

Haga progresar su atención

Ya sea que desee mejorar la eficiencia del flujo de trabajo en su departamento de TC, lograr una mayor uniformidad y calidad de imagen en sus exploraciones u optimizar su flota, Revolution Advance es una opción inteligente que puede lograrlo todo.
Un clic y listo

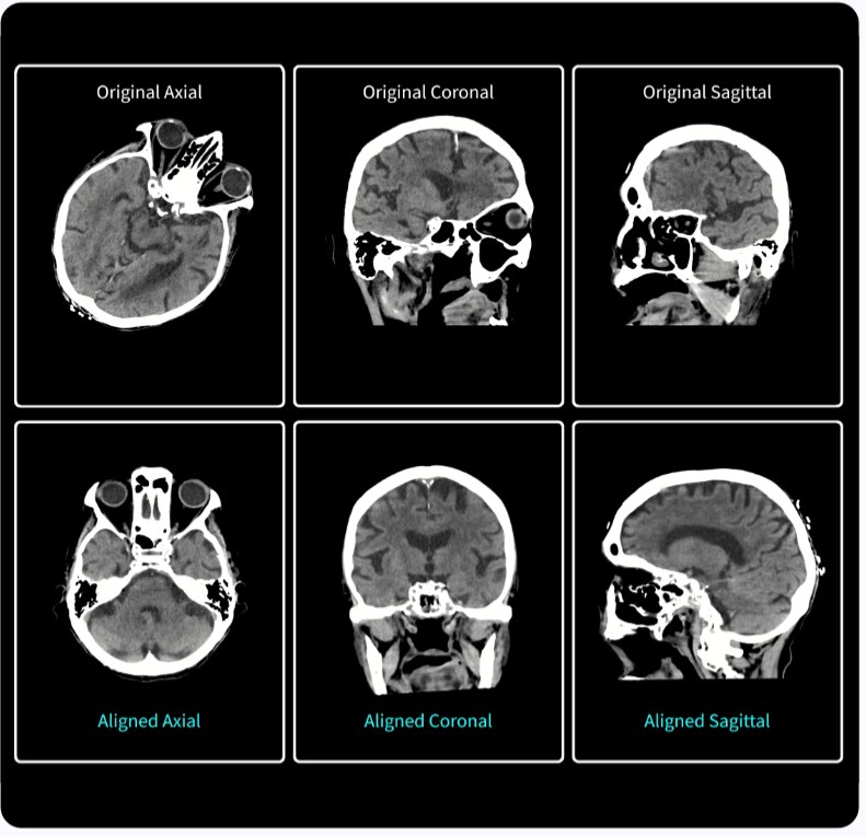
Posicionamiento automático innovador basado en IA

Nuestra cámara Xtream utiliza tecnología de detección precisa en tiempo real para generar un modelo 3D del cuerpo del paciente. A continuación, mediante nuestro algoritmo de aprendizaje profundo, Revolution Advance localiza el centro del rango de exploración y lo alinea automáticamente con el isocentro del túnel. Con un solo clic, el posicionamiento automático utiliza toda esta información para centrar automáticamente al paciente sin necesidad de intervención.

Esta tecnología inteligente proporciona tiempos de exploración más cortos, lo que hace que la experiencia de exploración sea más cómoda para sus pacientes. También ayuda a optimizar la dosis, mejora la calidad de la imagen y proporciona una mayor uniformidad en la exploración.
Incomparablemente intuitivo

Capacidades avanzadas fáciles de usar

Revolution Advance incorpora capacidades fáciles de usar a las que se puede acceder a través de las intuitivas pantallas táctiles del estativo de la tableta Xtream. No solo es posible configurar rápidamente a los pacientes para exploraciones más rápidas y exactas, sino que también se puede acceder a varios modos de exploración, como el modo de paciente de emergencia, para comenzar a explorar rápidamente los casos de emergencia.

También es posible aprovechar aplicaciones que mejoran la velocidad, como IQ Enhancement (IQE), que pueden proporcionar exploraciones más rápidas sin comprometer la calidad de la imagen.
Alto rendimiento

Adquisición de imágenes inteligente que se puede ver

En el corazón de Revolution Advance se encuentra una cadena de adquisición de imágenes confiable y de alto rendimiento con 42 kW de potencia del generador, un tubo de rayos X de 3,5 MHU y detectores integrados que reducen la relación señal/ruido en un 20 %2. Esto va de la mano con nuestras aplicaciones inteligentes de reconstrucción de reducción de dosis, como ASiR2, que pueden proporcionar una dosis hasta un 40 % menor mientras se mantiene una alta calidad de imagen2.

En lo que respecta a la adquisición de imágenes de casos más desafiantes, como pacientes neurológicos, oncológicos o pediátricos, VISR3 (del inglés Volumetric Image Space Reconstruction, reconstrucción volumétrica del espacio de la imagen) reduce el ruido sin afectar la resolución de la imagen. Esto significa menos dosis para el paciente, a la vez que se mantiene la alta calidad de imagen que se necesita para diagnósticos más exactos.
Innovadora plataforma Revolution

Diseñada teniendo en cuenta sus necesidades

Revolution Advance está diseñado en nuestra innovadora plataforma Revolution. Sus tecnólogos y médicos pueden esperar una interfaz de usuario familiar y coherente, junto con soluciones de flujo de trabajo mejoradas para ayudar a reducir los tiempos de exploración y permitirle atender a más pacientes cada día.

La administración de flotas también está completamente optimizada. Los protocolos de exploración se pueden compartir en toda la flota para garantizar la coherencia, y el monitoreo inteligente de extracción garantiza que el escáner funcione con la máxima eficiencia. Revolution Advance también cuenta con un modo de ahorro de energía, que puede reducir el consumo de energía hasta en un 40 %4.
Especificaciones técnicas

Características clave adicionales

Pantalla táctil de 12,1”

Acceda fácilmente a las capacidades a través de la pantalla táctil intuitiva de la tableta Xtream

Parámetros predefinidos de paciente y protocolo

Configure a los pacientes más rápido con los parámetros predefinidos

Posicionamiento automático con un clic

Reduzca los tiempos de exploración optimizando la configuración del paciente

Representación de onda de ECG

Exploraciones cardíacas simplificadas con visualización de la forma de onda
 
Descargo de responsabilidad
* Con la opción de reconstrucción superpuesta
Referencias
1. En comparación con la tecnología de detector de la generación anterior; datos en archivo.
2. En la práctica clínica, el uso de ASiR puede reducir las dosis que se administran al paciente durante la TC en función de la tarea clínica que se realice, del tamaño del paciente, de la localización anatómica y de la práctica clínica. Con el fin de determinar la dosis necesaria para obtener imágenes de calidad diagnóstica para un procedimiento clínico en particular, se recomienda consultar con un radiólogo o físico. ASiR tiene licencia para su uso con un tubo de rayos X de GE HealthCare. El uso de otro tubo de rayos X requerirá una licencia adicional para estas características.
3. En la práctica clínica, el uso de VISR puede reducir las dosis que se administran al paciente durante la TC en función de la tarea clínica que se realice, del tamaño del paciente, de la localización anatómica y de la práctica clínica. Con el fin de determinar la dosis necesaria para obtener imágenes de calidad diagnóstica para un procedimiento clínico en particular, se recomienda consultar con un radiólogo o físico. Cuando ASiR está instalado, el filtro Neuro 3D se deshabilita.
4. Revolution Advance está diseñado para reducir el consumo de electricidad para el funcionamiento y el enfriamiento ambiental en más de 12 085 kWh por máquina anualmente, un ahorro de energía de hasta un 40 % en comparación con la tecnología anterior de GE HealthCare.
Menciones legales
© 2025 GE HealthCare. GE es una marca registrada de General Electric Company bajo licencia de uso de marca. Todos los derechos reservados.
1) La información en este material se presenta a modo general, aunque se procura que no existan datos inexactos, pueden existir distintas interpretaciones al respecto; esta información puede ser de aplicación restringida en su país. La configuración y las características finales del producto pueden diferir de las que se muestran en el material. Observar fielmente la documentación del producto.
2) Los productos mencionados en este material pueden estar sujetos a regulaciones del gobierno y pueden no estar disponibles en todas las localidades. El embarque y la efectiva comercialización únicamente se podrán realizar si el registro del producto ya ha sido otorgado en su país. Los productos/tecnologías podrán tener un nombre de fantasía diferente al aprobado, su comercialización se realizará bajo el nombre registrado. GE HealthCare se reserva el derecho de realizar cambios en las especificaciones y características que se muestran en este documento o de discontinuar el producto descrito en cualquier momento sin previo aviso. Comuníquese con su representante de GE HealthCare para obtener la información más actualizada.
3) El cliente y/o prestador de servicios de atención de salud tiene la exclusiva responsabilidad de utilizar su propio criterio médico y profesional independiente en la toma de decisiones clínicas, médicas o financieras. Nada en este material está destinado a ser utilizado para diagnosticar o tratar una enfermedad o condición.
Comuníquese

¿Tiene alguna pregunta? Nos encantaría saber de usted.

JB01779XL