• Change country/language

    Looks like you’re in {} — you’re on the {} site.

    Cancel

    Country and language selected

    You are being redirected to the {} site. Products and services availability vary by country. Do you wish to continue?

    Continue
    Cancel

C-arms for Vascular Procedures

Achieve optimum visual detail during vascular procedures from interventional to hybrid to clinic settings with confidence and choice of OEC C-arms.

c-arms-for-office-HeaderImage-ci-en

OEC C-arms are used by interventionalists and surgeons to obtain vascular imaging during peripheral to contrast run-off procedures. Superb resolution, even in the presence of motion, enables easy identification of anatomical landmarks and the extremity of the catheter, even as catheter tip moves.

Vascular imaging features

    

Clear

Clearly see 0.014” guidewires in chest and abdomen region or 0.008” guidewires in peripheral vascular with the OEC Elite CFD with a flat detector, image processing advancements and 4K viewing display.

Experience fixed room-like images with eNR (enhanced Noise Reduction), an advanced software algorithm that automatically reduces image noise by 30% for an equivalent appearance of 30 kW power.

c-arms-for-vascular-imaging-clear-st-en

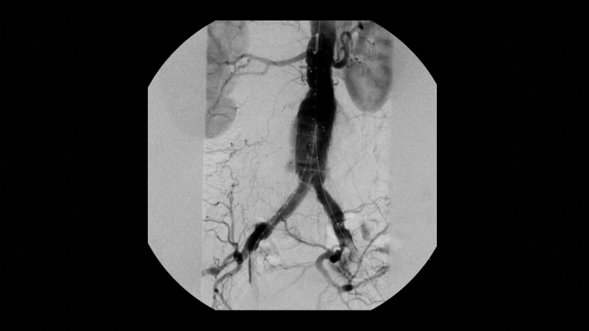
Perform

Perform a full leg Bolus Chase in one contrast run with a Preset Profile that includes Motion Tolerant Subtraction, that dynamically adjusts image quality based on presence of motion.

During contrast run-off procedures, easily select contrast type with positive (e.g. Iodine) or negative (e.g. Carbon Dioxide) during subtraction. The OEC Elite CFD cardiovascular package also includes Roadmapping.

c-arms-for-vascular-imaging-perform-ci-en

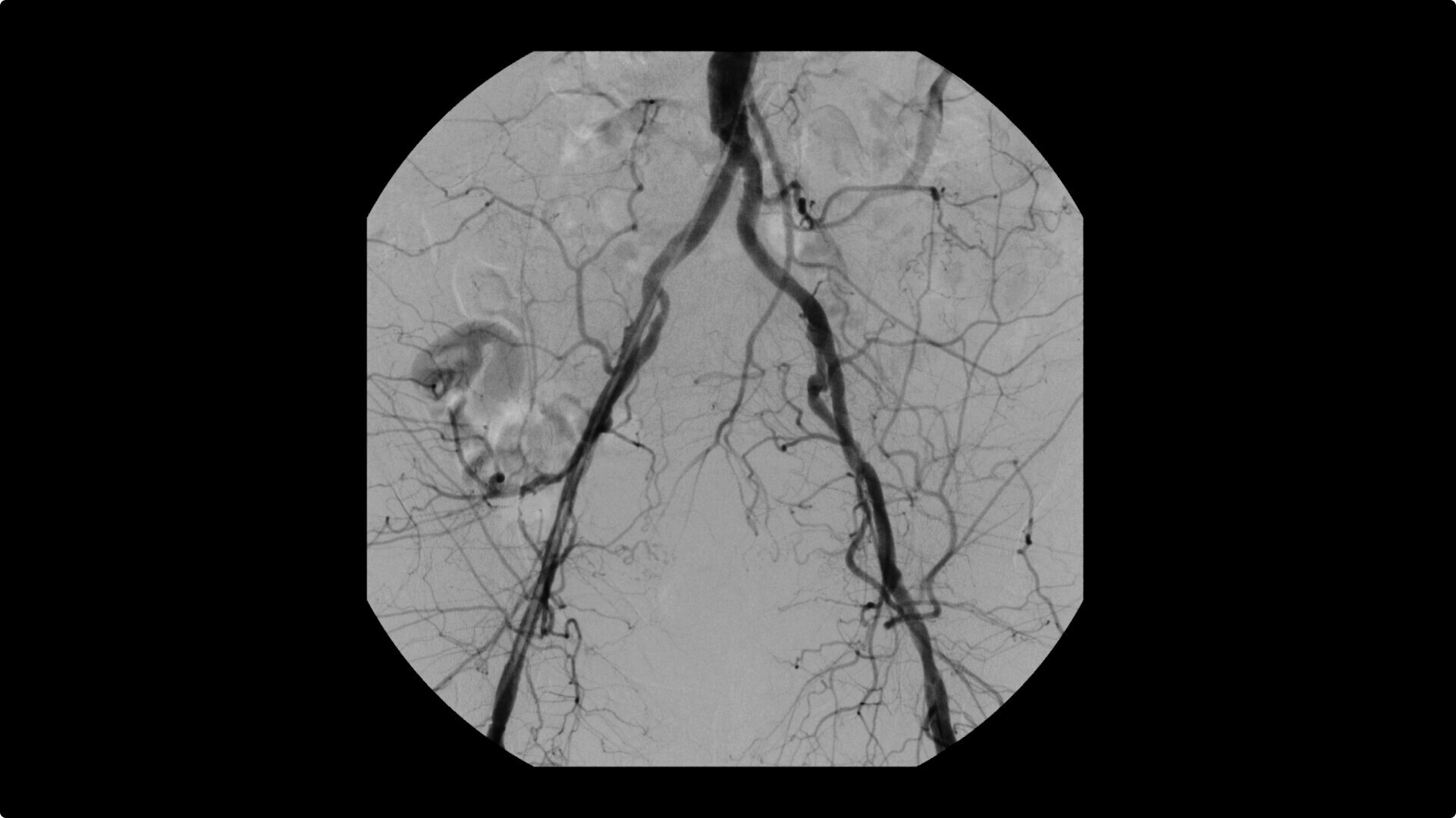
Plan

To see vessel stenosis or tips of guidewires, Live Zoom up to 4X during a fluoro or Cine without the additional dose of Mag modes or resulting X-ray tube heat buildup.

Conveniently plan procedures with comprehensive imaging tools to measure percent stenosis, distance, or angles, annotate and draw on images.

c-arms-for-vascular-imaging-plan-ci-en
c-arms-for-office-PromoDynamicHighlight-ci-en

Vascular imaging you need

Complex vascular procedures require powerful imaging systems. OEC premium C-arms perform in a variety of procedures such as:
•Abdominal aortic aneurysm (AAA) stent and balloon deployment
• Atherectomy
• Dialysis declot
• Infrarenal aortic aneurysm repair
• Recanalization and stent placement in iliac arteries
• Recanalization of the superior mesenteric artery
• Stent implant in peripheral artery
• Vascular long lesion treatment
Related products

Discover other OEC C-arm products

oec-3d-product-tile-en

OEC 3D

Designed to bring high-definition 3D and 2D images to surgical suites and integrating into existing surgical workflows.
oec-elite-cfd-product-tile-ci-en

OEC Elite CFD

Offers stunning image clarity and detail at low dose with enhancements for an easy and efficient experience.
oec-one-cfd-product-tile-en

OEC One CFD

Compact mobile C-arm delivers a Clear View of anatomy across procedural settings in a synchronized, all-in-one workflow.
JB09260XX July 2023

Have a question? We've love to hear from you.

Contact us

We're ready to support you in your moments that matter.

We’re sorry, a problem occurred with the form. Please try again.
Thank you for your inquiry.

We will be in touch soon.

Something went wrong

We will check and get back.