• Change country/language

    Looks like you’re in {} — you’re on the {} site.

    Cancel

    Country and language selected

    You are being redirected to the {} site. Products and services availability vary by country. Do you wish to continue?

    Continue
    Cancel
Clinical application for fixed radiography
VolumeRAD

When an X-ray is inconclusive, VolumeRAD™ provides additional information to assist radiologists with confident, diagnostic decision-making. The exam can be performed in <2 minutes at the same time and same system—with 20x less dose than a CT exam.1-5

At a glance

Frees up equipment

Leaves CT or MR systems open for more complex cases

Reduces patient anxiety

The <2-minute exam immediately follows X-ray so patients can get answers fast

Minimizes dose

A VolumeRAD exam has 20x less dose than a CT exam1-5

Highly accurate

Acquires multiple cross-section images of the anatomy in a single sweep

Elevating confidence through greater sensitivity and specificity
80%

Sensitivity in the detection of scaphoid fractures on average6,7

79%

Sensitivity in the detection of occult hip fractures8,9

80%

Reduction in the need for CT imaging after an inconclusive chest X-ray10,11

98%

Less dose than a chest CT¹² (4.9 mSv CT vs. 0.10 msV VR)

Features
A fast and accurate alternative

Your department relies on standard radiography as the first diagnostic test for most chest, orthopedic and trauma cases. But hairline fractures or non-displaced fractures are difficult to detect on conventional X-rays.13 According to a recent study, 33% of scaphoid fractures are missed on the first X-ray.14



Digital tomosynthesis can help you reduce time-to-diagnosis, decrease department costs and improve patient outcomes.

How it works
Reduce costs and improve efficiency with VolumeRAD's fast, automated workflow
  • VolumeRAD takes multiple images of the anatomy in a single sweep including chest, abdomen, skull, sinuses, extremities and spine

  • During the sweep, up to 60 ultra-low dose exposures are obtained

  • Similar to CT exams, the acquired data is then reconstructed into a set of tomographic images (parallel to the detector plane)

  • These images, in DICOM format, can be reviewed sequentially on the acquisition console or on any standard PACS review workstation

  • Exam can be performed either at the wall stand or at the table
volumerad-feature-hero-how-it-works-st-en
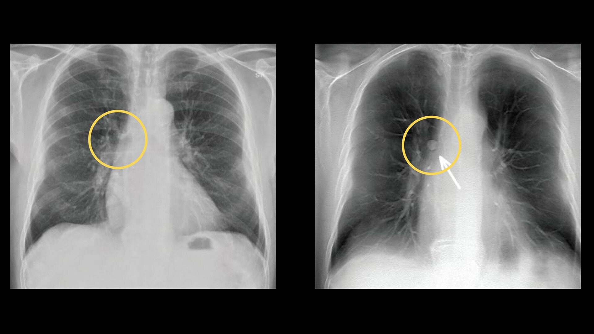
Lung nodule detection
Improve detectability of lung nodules and patient management15

VolumeRAD significantly increases detection sensitivity, enabling radiologists to confidently identify more lung nodules than 2-view chest X-ray. Radiologists also are significantly more accurate at correctly identifying cases requiring follow-up with VolumeRAD than with 2-view chest X-ray.15

  • VolumeRAD is 3.6 times more sensitive than chest X-ray in detecting lung nodules 3 mm to 20 mm in diameter, without decreased specificity15

  • VolumeRAD is 7.5 times more sensitive than chest X-ray in detecting lung nodules 4 mm to 6mm in diameter, without decreased specificity15
volumerad-feature-hero-lung-module-detection-st-en
Metal artifact reduction
VolumeRAD Metal Artifact Reduction (MAR) provides quality multi-level image slices even with metal implants
Metallic implants often cause difficulty in digital tomographic imaging. Often black lines appear in the X-ray (an undershoot) or a white ring appears around the metal or there is streaking throughout the image. VolumeRAD Metal Artifact Reduction removes these effects, improving visibility, enabling analysis of implant placements and increasing clinical confidence.

Image caption: Wrist fracture with metal implant | Conventional (left) vs. VolumeRAD with Metal Artifact Reduction (right)
volumerad-feature-hero-metal-implant-st-en
Related applications

Explore additional X-ray applications

helix-advanced-image-product-tile-en

Helix™ Advanced Image Processing

First impressions matter in diagnostic imaging. That’s why GE Healthcare is committed to developing products that provide the clinical confidence our customers need from the first X-ray image.
dual-energy-subtraction-product-tile-en

Dual Energy Subtraction

Dual Energy Subtraction can help to eliminate obstructions from overlying bones while providing additional information on calcifications in chest studies.
quality-care-suite-tile-image-ba-en

Quality Care Suite on-device AI for X-ray

On-device solution for X-ray that includes AI algorithms that operate in parallel to help technologists reduce image quality errors and improve efficiency.

Related products

Explore our family of X-ray systems

definium-656-hd-og-image-en

Definium™ 656 HD

A comprehensive and versatile digital OTS x-ray system delivers advanced applications for precise views and greater clarity, simplified workflows, and enhanced imaging operations.
definium-tempo-product-tile-en

Definium™ Tempo

Definium Tempo, a fixed overhead tube suspension X-ray system is designed to simplify technologist’s workflow, improve consistency and diagnostic confidence.

 
References
  1. Noël, A., et al. “Comparison of irradiation for tomosynthesis and CT of the wrist.” Journal de radiologie 92.1 (2011): 32-39.

  2. NHS Evaluation Report: Tomosynthesis for General Radiography, CEP09001, February 2009.

  3. Hughes et al.: Making plain film ‘sexy’ again October 2009 SYNERGY Imaging & Therapy Practice, p.18-Hughes et al.: Making plain film ‘sexy’ again October 2009 SYNERGY Imaging & Therapy Practice, p.18-23 Noel.

  4. J Radiol. 2011 Jan;92(1):32-39. Epub 2011 Jan 14. Comparison of irradiation for tomosynthesis and CT of the wrist. [Article in French, English translation available] Noël A, Ottenin MA, Germain C, Soler M, Vilani N, Grosprêtre O, Blum A.

  5. United Nations Scientific Committee on the Effects of Atomic Radiation (2008). Sources and effects of ionizing radiation. New York: United Nations (published 2010). p. 4. ISBN 978-92-1-142274-0. Retrieved 9 November 2012.

  6. Evaluation of the Diagnostic Performance of Tomosynthesis in Fractures of the Wrist. Ottenin MA, Jacquot A, Grospretre O, Noël A, Lecocq S, Louis M, Blum A. AJR Am J Roentgenol. 2012 Jan;198(1):180-6. doi: 10.2214/AJR.11.6374.

  7. Clinical utility of tomosynthesis in suspected scaphoid fracture. A pilot study. Geijer et al: Skeletal Radiol (2011) 40:863–867, DOI 10.1007/s00256-010-1049-3.

  8. Initial clinical experience of the use of digital tomosynthesis in the assessment of suspected fracture neck of femur in the elderly. Al-Mokhtar N, Shah J, Marson B, Evans S, Nye K. Eur J Orthop Surg Traumatol. 2015 Jul;25(5):941-7. doi: 10.1007/s00590-015-1632-3. Epub 2015 Apr 17.

  9. Is Tomosynthesis More Accurate than Radiography in Detecting Subtle Hip Fractures? Naveen Parasu, Jane Castelli Hamilton, Sandra Monteiro, David A. Koff, Katelyn Nye, John M. Sabol, (K.N., J.S are GE employees), RSNA 2016, SSQ05-08.

  10. Quaia et al. Diagnostic imaging costs before and after digital tomosynthesis implementation in patient management after detection of suspected thoracic lesions on chest radiography. Insights Imaging, 2014, Volume 5, Issue 1, pp 147-155.

  11. Cecilia Petersson, Magnus Båth, Jenny Vikgren, Åse Allansdotter Johnsson. An analysis of the potential role of chest tomosynthesis in optimizing imaging resources in thoracic radiology – Radiat Prot Dosimetry (2016).

  12. Sabol JM. A Monte Carlo estimation of effective dose in chest tomosynthesis. Med Phys 2009; 36: 5480–7.
    doi: https://doi.org/10.1118/1.3250907.

  13. P. M. Parizel et al. "Trauma of the spine and spinal cord: Imaging strategies." Eur Spine J. 2010 Mar; 19(Suppl 1): 8–17.

  14. Geijer M et al. "Clinical utility of tomosynthesis in suspected scaphoid fracture: A pilot study" Skeletal Radiol. (Jul 2011): 40(7):863-7.

  15. Clinical study provided in K132261 clearance.

 

Have a question about the VolumeRAD?

Contact us

We're ready to support you in your moments that matter.

We’re sorry, a problem occurred with the form. Please try again.
Thank you for your inquiry.

We will be in touch soon.

Something went wrong

We will check and get back.

JB31502XX January 2025