• Change country/language

    Looks like you’re in {} — you’re on the {} site.

    Cancel

    Country and language selected

    You are being redirected to the {} site. Products and services availability vary by country. Do you wish to continue?

    Continue
    Cancel

AIR x – prescribing precision MRI slices

Discover AIR x™ delivering automatic MRI slice placement for workflow efficiency.

At a glance

Automatic slice placement

Automatically detect anatomy and prescribe MRI slice

Consistent and accurate images

Deliver consistent results regardless of pathology, patient position, and technologist

Time savings

Save time with automatic MRI prescription and avoid rescans

AIR x™ automatically detects patient anatomy and prescribes MRI slices

Eliminate the sources of variation by letting processes flow. AIR x™ uses deep-learning algorithms created from a database of 10's of thousands of images to automatically detect patient anatomy and prescribe MRI slices for routine and challenging neurological and knee exams, delivering consistent and quantifiable results. The automated workflow creates efficiency and reproduces steps used in planning to ensure exam consistency for same patient follow-up.
air-x-tom-schrack-testimonial-ci-en

Every time I select a landmark for the prescription, the slice placement is dead on. Every time. It’s very cool.

 

Tom (Tomas) Schrack, ARMRIT, MRSO

Manager of MR Education and Technical Development,
Fairfax Radiological Consultants, USA

AIR x™ - Intelligent MRI slice prescription
AIR x™ for improved MRI consistency and accuracy, powered by a deep-learning algorithm created from a database of 10's of thousands of images.
Automated MRI slice placement
Determine the best MRI slice placement
AIR x™ automatically detects patient anatomy and prescribes MRI slices for routine and challenging neurological and knee exams, delivering consistent and quantifiable results.
air-x-automated-mri-slice-ci-en
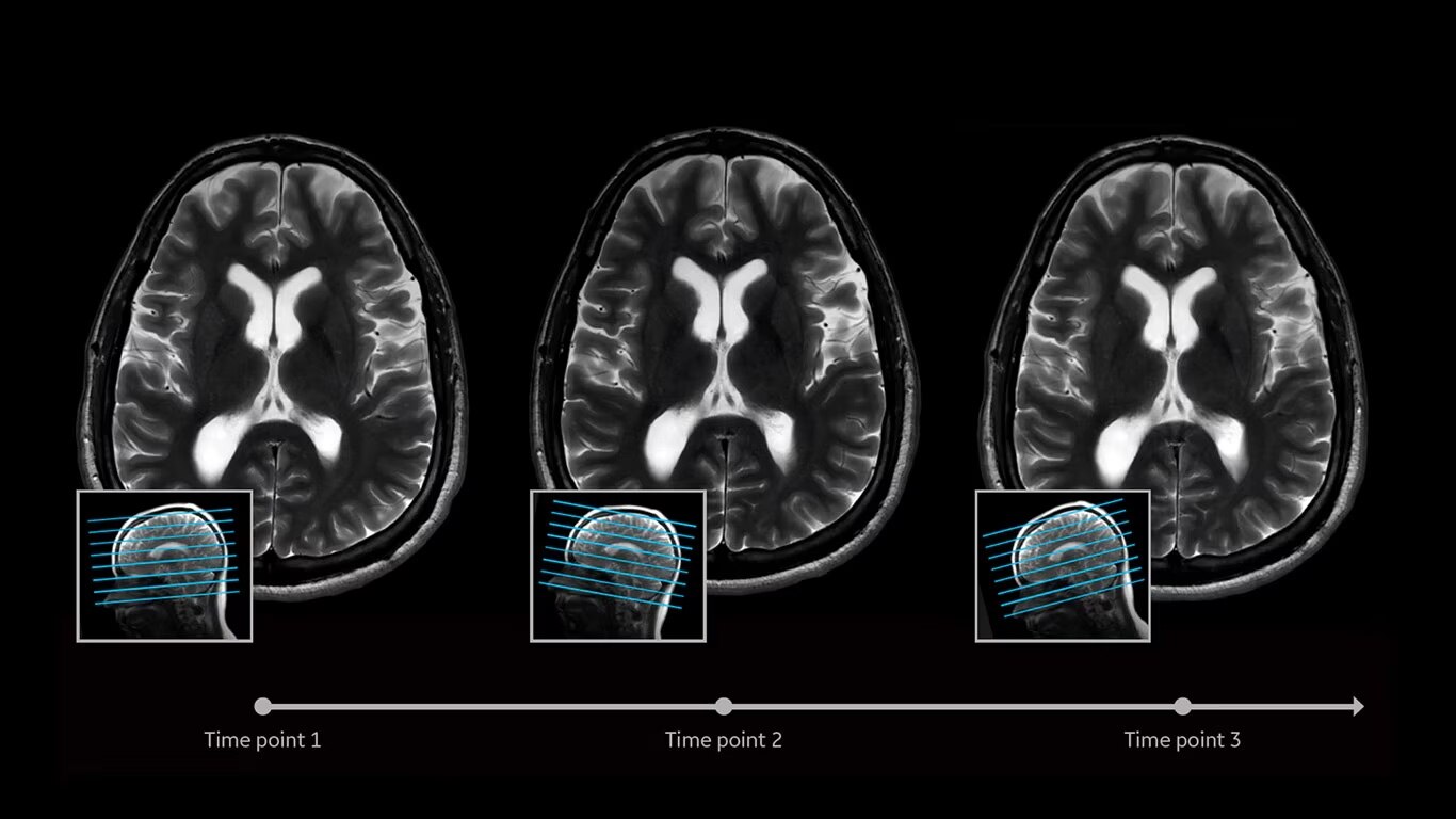
Consistent and accurate images
Deliver consistent results
Deliver consistent MRI slice placements across multiple clinical time points, with a deep-learning algorithm that provides efficiency and time savings.
air-x-consistent-accurate-ci-en
Time savings
Scan more patients, faster
Reduce the need for rescans with AIR x™, which automatically detects anatomies and determines the best position for MRI slices.
air-x-time-savings-ci-en

Discover imaging applications

Imaging applications for SIGNA™ is a fully customizable productivity platform, to enhance imaging accuracy, consistency and scan time. Let imaging flow, for your patients and your department.
JB22198XX October 2022

Learn more about AIR x™

Contact us

We're ready to support you in your moments that matter.

We’re sorry, a problem occurred with the form. Please try again.
Thank you for your inquiry.

We will be in touch soon.

Something went wrong

We will check and get back.