• Change country/language

    Looks like you’re in {} — you’re on the {} site.

    Cancel

    Country and language selected

    You are being redirected to the {} site. Products and services availability vary by country. Do you wish to continue?

    Continue
    Cancel
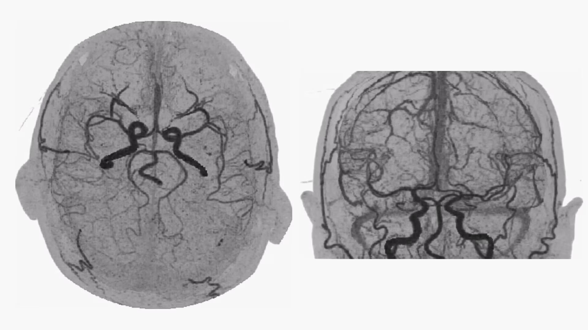
Dynamic Shuttle

Bone-free dynamic visualization of vascular anatomy.

At a glance

Simplified visualization

Allows vascular diagnoses using dynamic CT angiography.

4D-CT angiography

Extracts data from scan and visualizes the flow of contrast from the arteries to the veins.

Dynamic visuals

Generates dynamic movies for reports and presentations.

Features

  • 4D Neuro Digital Subtraction angiography (DSA) automatically performs image registration, then removes bone.
  • 4D Body Shuttle loads dynamic data into the body protocol after which you can apply either Bone Subtraction DSA or Autobone Shuttle. The program then registers the image and removes bone using the selected protocol.
  • The Cine tool panel lets you control dynamic data display
clinical bone image
Get in touch

Have a question? We would love to hear from you.

Contact us

We're ready to support you in your moments that matter.

We’re sorry, a problem occurred with the form. Please try again.
Thank you for your inquiry.

We will be in touch soon.

Something went wrong

We will check and get back.

JB29406XX May 2024