• Change country/language

    Looks like you’re in {} — you’re on the {} site.

    Cancel

    Country and language selected

    You are being redirected to the {} site. Products and services availability vary by country. Do you wish to continue?

    Continue
    Cancel
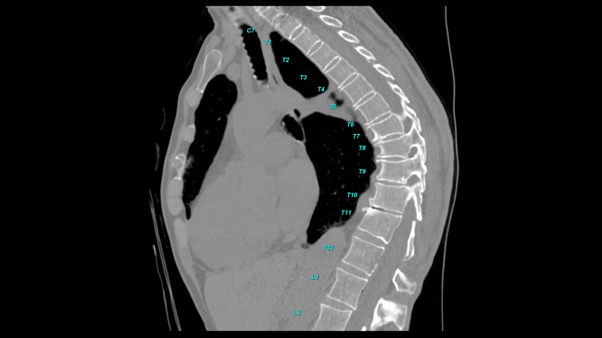
Bone VCAR

Spine assessment with deep-learning based CT application.

At a glance

Efficiency

Automated spine identification and labelling.

Consistency

>90% labeling accuracy based on Deep learning algorithm trained on global datasets acquired with a broad range of acquisition parameters.

Workflow

Automated curved reformats to aid in rapid reading and reporting.

Features

  • Automated spine labeling
  • Automated generation of a 3D trace to generate oblique and straightened reformat views
  • Automated generation of oblique views perpendicular to vertebral bodies and disc spaces
  • Easily edit the centerline to ensure accurate placement in the most challenging cases
  • Accessible for any exam type: trauma, oncology, dedicated spine, general imaging
  • Load multiple series and vertebrae labeling will propagate to the different volumes
  • Works on full spine acquisitions as well as limited acquisitions containing segments of the spine
feature-hero-desktop-st-en

Have a question?
We would love to hear from you.

Contact us

We're ready to support you in your moments that matter.

We’re sorry, a problem occurred with the form. Please try again.
Thank you for your inquiry.

We will be in touch soon.

Something went wrong

We will check and get back.

JB28622XX March 2024