• Change country/language

    Looks like you’re in {} — you’re on the {} site.

    Cancel

    Country and language selected

    You are being redirected to the {} site. Products and services availability vary by country. Do you wish to continue?

    Continue
    Cancel

MRI applications for SIGNA™

Comprehensive, upgradeable and customizable MR imaging platform for fast and flexible scanning across clinical specialties.

SignaWorks--hero--desktop

At a glance

Quantifiable

Provides quantitative and actionable information

Fast

Advanced acceleration techniques and streamlined workflows for fast and reliable exams

Consistent

Motion and distortion-reduced scans for higher-resolution and improved image quality

Personalized

Comfortable, acoustic reduced imaging, added to any patient

Body MRI for SIGNA™

Fast body MR imaging techniques to capture breast, abdominal and pelvic anatomy on any patient, with great flexibility.

Quantifiable

Provides quantitative and actionable information

Fast

Advanced acceleration techniques for fast and reliable exams

Consistent

Motion and distortion-reduced scans with high-resolution and contrast

Personalized

Comfortable, acoustic reduced imaging, added to any patient

Cardiovascular imaging for SIGNA™

Wide range of MR cardiovascular imaging techniques to assess morphology, flow, function and tissue viability while adapting to a wide variety of patient types.

Quantifiable

Enables objective measurements based on quantitative data for a more reliable result

Personalized

Accommodates the individual characteristics and needs of each and every patient

Consistent

Enables reliable monitoring of cardiac health while delivering the best possible care to patients

Fast

Advanced acceleration techniques for fast and reliable exams

MSK MRI for SIGNA™

Musculoskeletal MR imaging techniques for dynamic images of bones, joint and soft tissue with remarkable tissue contrast.

Quantifiable

Provides quantitative and actionable information

Personalized

Designed to deliver a comfortable, personalized patient experience through the entire exam

Consistent

Motion and distortion-reduced scans with high-resolution and contrast

Fast

Industry leading acceleration techniques using deep learning reduce scan time and improve image quality

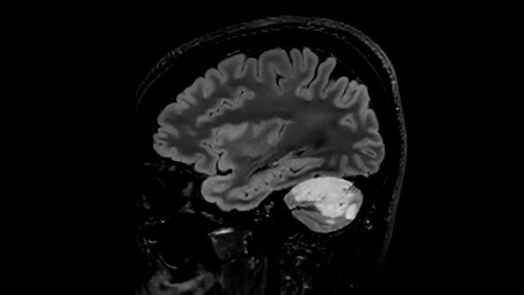
Neuro MRI for SIGNA™

Wide range of MR neuro imaging techniques for fast images of brain, spine, vascular and peripheral nerve anatomy with exceptional tissue contrast.

Quantifiable

Provides quantitative and actionable information

Personalized

Designed to deliver a comfortable, personalized patient experience through the entire exam

Consistent

Motion and distortion-reduced scans with high-resolution and contrast

Fast

Industry leading acceleration techniques using deep learning reduce scan time and improve image quality

Onco MRI for SIGNA™

Oncology MR imaging techniques to capture anatomical and morphological data with robust tissue contrast, motion-insensitive and high temporal and spatial resolution for oncological assessment.

Quantifiable

Provides quantitative and actionable information

Fast

Advanced acceleration techniques for fast and reliable exams

Consistent

Motion and distortion-reduced scans with high-resolution and contrast

Personalized

Comfortable, acoustic reduced imaging, added to any patient

Pediatric MRI for SIGNA™

Specialized pediatric MRI protocols specifically designed to meet the needs of your smallest, most fragile patients. Provide ease of use for technologists and clinical excellence for clinicians.

Quantifiable

Provides quantitative and actionable information

Personalized

Comfortable, acoustic reduced imaging, added to any patient

Consistent

Motion and distortion-reduced scans with high-resolution and contrast

Fast

Advanced acceleration techniques for fast and reliable exams

Sports Medicine MRI for SIGNA™

Leverage GE HealthCare MR technology to accelerate the science of sport-related concussion, MSK injury and return to play.

MRI’s role in imaging

MR plays an important role in returning athletes to the field

Concussion & mTBI imaging

Advanced quantitative MR imaging can detect structural and functional neurological changes

MSK injury imaging

MR technology can scan both soft-tissue and bone injuries, all perfectly co-registered

Diagnostic confidence

Discover deep-learning-based MR image reconstruction for sharper, clearer & accurate images

AIR Recon DL listing670

MR image reconstruction with AIR™ Recon DL

AIR™ Recon DL has revolutionized MR imaging with deep-learning based image reconstruction increased image quality, reduced scan time and improved SNR.
AIR-Coils-content

AIR™ Coils for MRI

With overlapping, ultra-light, flexible coil elements at their heart, AIR™ Coils deliver an MRI experience that gets closer to your patient.
product-cards-3-670x670

Sonic DL: Life-Speed Imaging, Now in 3D

Our most cutting-edge, deep-learning MRI acceleration technique yet has evolved to support over 75%1 of your most common exams.

Have a question? We would love to hear from you.

We're ready to support you in your moments that matter.

Thank you!

We received your request for assistance.

A GE Healthcare specialist will be reaching out shortly.

Something went wrong

We will check and get back.

JB03930UK December 2024