• Change country/language

    Looks like you’re in {} — you’re on the {} site.

    Cancel

    Country and language selected

    You are being redirected to the {} site. Products and services availability vary by country. Do you wish to continue?

    Continue
    Cancel

AIR x™ – prescribing precision MRI slices

Discover AIR x™ delivering automatic MRI slice placement for workflow efficiency.

Vidyard video
Hero Banner Image

AT A GLANCE

Automatic slice placement

Automatically detect anatomy and prescribe MRI slice

Consistent and accurate images

Deliver consistent results regardless of pathology, patient position, and technologist

Time savings

Save time with automatic MRI prescription and avoid rescans

AIR x™ automatically detects patient anatomy and prescribes MRI slices

Eliminate the sources of variation by letting processes flow. AIR x™ uses deep-learning algorithms created from a database of 10's of thousands of images to automatically detect patient anatomy and prescribe MRI slices for routine and challenging neurological and knee exams, delivering consistent and quantifiable results. The automated workflow creates efficiency and reproduces steps used in planning to ensure exam consistency for same patient follow-up.

Air-X Tom Schrack testimonial desktop

Every time I select a landmark for the prescription, the slice placement is dead on. Every time. It’s very cool.
 

Tom (Tomas) Schrack, ARMRIT, MRSO

Manager of MR Education and Technical Development,

Fairfax Radiological Consultants, USA

AIR x™ - Intelligent MRI slice prescription

AIR x™ for improved MRI consistency and accuracy, powered by a deep-learning algorithm created from a database of 10's of thousands of images.

AUTOMATED MRI SLICE PLACEMENT
Determine the best MRI slice placement

AIR x™ automatically detects patient anatomy and prescribes MRI slices for routine and challenging neurological and knee exams, delivering consistent and quantifiable results.

AIR-x feature hero automated MRI slice placement
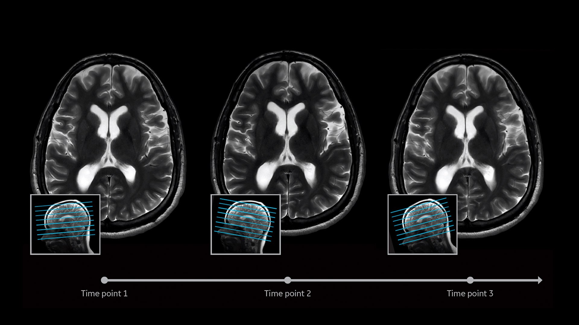
CONSISTENT AND ACCURATE IMAGES
Deliver consistent results

Deliver consistent MRI slice placements across multiple clinical time points, with a deep-learning algorithm that provides efficiency and time savings.

AIR-x feature hero consistent and accurate
TIME SAVINGS
Scan more patients, faster

Reduce the need for rescans with AIR x™, which automatically detects anatomies and determines the best position for MRI slices.

AIR-x-feature-hero-time-savings1

Discover imaging applications

Imaging applications for SIGNA™ is a fully customizable productivity platform, to enhance imaging accuracy, consistency and scan time. Let imaging flow, for your patients and your department.

Learn more about AIR x™

We're ready to support you in your moments that matter.

Thank you!

We received your request for assistance.

A GE Healthcare specialist will be reaching out shortly.

Something went wrong

We will check and get back.

JB06570XE June 2023