• Change country/language

    Looks like you’re in {} — you’re on the {} site.

    Cancel

    Country and language selected

    You are being redirected to the {} site. Products and services availability vary by country. Do you wish to continue?

    Continue
    Cancel
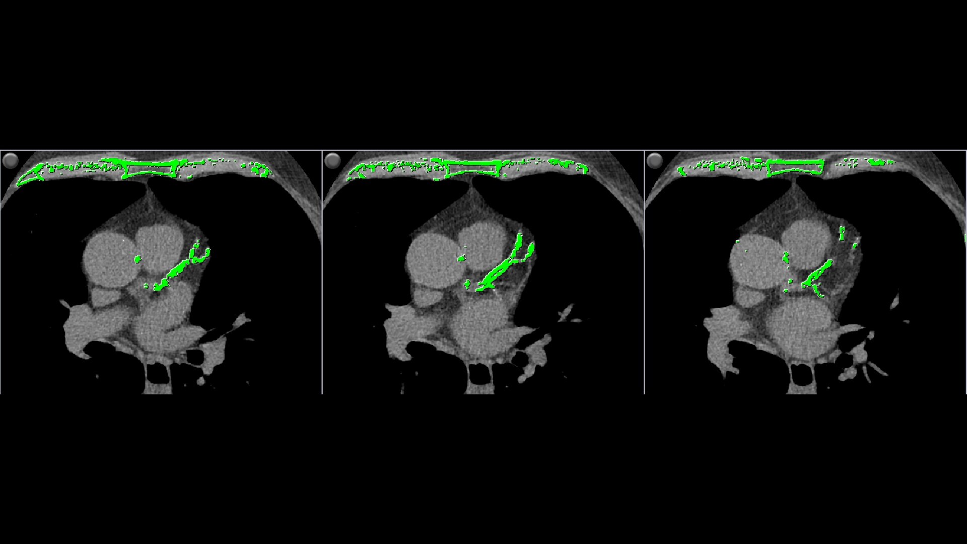
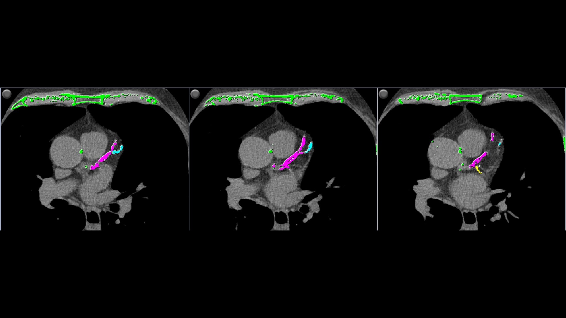
SmartScore™ 4.0
Detects, quantifies and scores cardiac calcium plaque burden.

At a Glance

Efficiency

Automatic calcium detection and highlighting.

Simplicity

Single-click calcium labeling.

Quantification

Quantify the degree of coronary artery calcification by measuring mass, volume and Agatston (AJ130) score of the plaque(s).

Features
Additional features of SmartScore 4.0
  • Automatically detects calcium and highlights it in green
  • AJ 130 scoring method uses conventional Agatston/Janowitz technique with a threshold of 130
  • HU which is adjusted to the appropriate image slice thickness
  • Volume scoring calculates volumes (mm3) of calcified plaque above the 130 HU threshold
  • Mass scoring calculates mass (mg) of calcified plaque above the 130 HU threshold
  • Individual and aggregate scores are computed for each artery type
  • Provides two methods of calcium scoring
  • Score can be correlated to age group cohort to determine patient’s risk per population
  • Customizable parameters can be predefined based on your site’s preferences
  • Report options allow you to custom tailor your reports and distribute them in a variety of formats
smartscore-4-desktop
Get in touch

Have a question? We would love to hear from you.

We're ready to support you in your moments that matter.

Thank you!

We received your request for assistance.

A GE Healthcare specialist will be reaching out shortly.

Something went wrong

We will check and get back.

JB03543UK July 2024